医疗设备信息网----为医疗行业从业者服务的商务互动平台
飞利浦磁共振扫描方法
发布者: 合肥迅即影像科技有限公司
发布时间: 2021年05月31日
点击量: 1440
推荐
推荐


飞利浦磁共振扫描方法

自旋回波

自旋回波脉冲序列。

脉冲序列
90o 脉冲将磁化翻转至水平面。180o 脉冲为重聚焦脉冲。序列重复n次,其中n表示相位编码梯度的不同值。
属性
  • 在大多数情况下,自旋回波都会生成清晰而无伪影的图像。
应用
  • 所有解剖部位的T1W、T2W、PDW图像。
对比度由下列参数决定
  • 重复时间
  • 回波时间
  • SE翻转角
扫描模式
  • 多层(MS)
  • 二维和三维

对比度

SE中的对比度主要由TR与TE决定。

对比度
TR [ms]
TE [ms]
T1W
短(200 ms - 700 ms)
短 (10 ms - 25 ms)
T2W
长(> 1800 ms)
长 (> 80 ms)
PDW
长(> 1800 ms)
短 (10 ms - 25 ms)

注意

T1的驰豫时间与场强相关,并随场强的增加而增加。为获取最佳T1W对比度,必须针对不同场强使用不同的TR与TE值。

具有短TR的对比度变化

在某些具有短TR的情况下,强度和对比度变化非常小。这是由相邻层之间的时间差异所致。可通过使用"修改SE"来减少这种变化,即使层间距大于10%或使用更长的TR。

SE翻转角
    • 这是激励脉冲的翻转角,可设置为非90o的值(可能值:1o ... 150o)。它会影响信噪比和对比度。

为提高脑中脑灰质与脑白质之间的T1W对比度,应针对所用的TR优化所选的"SE翻转角"。

翻转角不等于90度的影响
        • 残余纵向磁化,正向或负向。T1驰豫机制受此磁化的大小和标向影响,但是反之也可与特定TR组合使用,以产生最佳T1W对比度。
      • 减少横位磁化,从而降低SNR。

下表列出了在特定场强下每个TR的最佳翻转角。

TR [ms]
于1.5 T
于1.0 T
于.5 T
TR [ms]
于1.5 T
于1.0 T
于.5 T
50
134
130
124
500
73
67
61
100
118
113
107
550
70
64
58
150
108
101
95
600
68
61
55
200
100
93
87
650
65
59
53
250
93
87
81
700
63
56
51
300
88
81
75
750
61
54
49
350
83
77
71
800
59
52
47
400
80
73
67
850
57
50
45
450
76
70
63
900
56
48
44

注意

使用不同TR也会影响所得到的信噪比,但是可以清楚地看到调整翻转角能提高T1W权重。

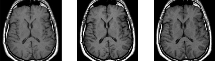
从左到右依次为:
TR 582 ms,翻转 90o \\ TR 582 ms,翻转 69o \\ TR 400 ms,翻转 80o

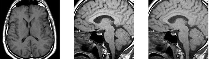
从左到右依次为:
TR 300 ms,翻转 88o \\ TR 550 ms,翻转 70o \\ TR 550 ms,翻转 90o

相关参数
        • 扫描技术(SE、FFE、IR、MIX)
      • TR重复时间
    • 回波数量(1 ...2 于多层中,1 ...8于二维和三维模式中)
  • TE回波时间
  • SE Flip angleSE翻转角
  • 优化第二回波(SE的典型值:是)
  • 层间距:在SE中默认值为层厚度的10%。




公司名称:合肥迅即影像科技有限公司

公司地址:安徽省合肥市经开区莲花路莲花智谷创业园一期305室

公司网址:http://www.xunji.net.cn/
公司电话:0551-68993016  68993055   13805690379
公司邮箱:zsy@xunji.net.cn






客服投诉热线:0551-68993016 违法和不良信息举报电话:0551-68993055 客服邮箱:278912304@qq.com 举报邮箱:790405988@qq.com

Copyright © 2017.Medcmz All rights reserved.

医疗设备信息网http://www.medcmz.com/医疗从业者免费注册发布的行业网站。若有疑问,联系站长QQ790405988;医疗从业者交流QQ:8157432开启中,申请请告司+职务+姓名+手机号。

皖ICP备2021004875号-3 公安备案号:34019102000920