本文1945个字,6幅图片,两篇相关文章,建议阅读时间15分钟。
驱动平衡Drive技术是一种通过缩短TR节约扫描时间但是又能同时达到T2WI对比的技术。
磁共振扫描参数决定不同的磁共振序列,而不同的磁共振序列体现不同的图像对比度。
本期要讲解的序列其实是一类特殊的自旋回波序列,该序列又可以叫做快速恢复快速回波序列,名字有点拗口吧。
在自旋回波序列中,扫描时间与TR是成正比的,为了缩短扫描时间,可以降低TR。然而TR下降,则下一次射频脉冲激发的时候,纵向磁化矢量还没有完全恢复,则图像信噪比会降低,并且TR不够会影响图像的T2对比。T2加权像中为了使得纵向驰豫比较慢的组织(如液体)显示为高信号,就必须要求TR设置得足够长,这样这些组织才有足够的时间进行纵向驰豫恢复。有没有一种两全其美的办法,既能使得TR缩短节约扫描时间,又能够保证图像有足够的T2对比。
利用部分组织长T2的特性,可以采用一种叫做驱动平衡的技术,这种技术是采用一个负90°的射频脉冲,将水平方向残留的磁化矢量打回纵轴方向,这样能够“强制”组织迅速完成纵向驰豫。
不同公司该序列名称不同。这种序列主要是用于T2WI的快速自旋回波序列,结合了这种快速恢复的序列。
飞利浦公司这个序列叫做驱动平衡自旋回波序列(DRIVen Equilibrium TSE,DRIVE),简写为Drive技术,和该技术结合的序列就可以写作T2WI-DRIVE;GE公司这种序列叫做快速回复自旋回波序列(Fast Recovery Fast Spin Echo, FRFSE);西门子公司该序列叫做TSE-Restore。

图1:DRIVE序列的结构示意图(手动作图不容易)
如上图所示,蓝色的代表长T2值的组织,比如脑脊液(CSF),绿色的代表短T2值的组织。长T2值的组织衰减比较慢,所以一个TR后,残留在水平方向的磁化矢量比较多。采用一个-90°方向的射频脉冲,将残留在水平方向上的蓝色组织的磁化矢量打回纵轴,这样长T2值的组织信号得以恢复,这样下一次射频脉冲激发的时候,纵向上有足够的磁化矢量。
综上所述,T2WI-DRIVE序列能够保证在短TR的情况下仍然能产生良好的T2对比,节约扫描时间。

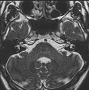
上面三组图像是临床常用的颈椎矢状位T2WI扫描。最左边的图像TR=2500ms,基本能够保证T2对比,可以观察脑脊液是亮的;中间的图TR降到700ms,则T2对比被削弱,图像偏T1权重,脑脊液是黑的;最右边的图TR也是700ms,但是脑脊液特别亮,并且T2对比甚至好于第一幅图,因为使用了Drive技术。
另外在进行内耳水成像的时候,也可以采用DRIVE来达到缩短TR节约时间的目的。特别是用于3D的TSE序列。

如上图所示,采用3D TSE序列,当TR设置为1500ms的时候,可以发现水并不是太亮。

图4:3D TSE结合DRIVE,组成3D TSE DRVIE序列,TR仍然为1500ms
将前面的3D TSE序列结合DRIVE技术组成3D TSE DRIVE序列,TR仍然设置为1500ms,可以发现液体的信号强度有所增加了。
如果进行水成像,采用DRIVE可以在缩短TR的情况下也能获得良好的液体信号,但是需要注意此时软组织对比度变差。大家永远记住,磁共振没有免费的午餐。
在飞利浦扫描界面中,在参数的对比度栏里,使用TSE序列可以看到有Drive这个选项。下拉菜单可以打开。现在新版本除了有Drive还有Anti-drive。Drive其实就是缩短TR后仍然能达到良好的T2对比,而Anti-Drive其实就是反过来,增加T1对比。


总结一下,T2WI-DRIVE序列的优点是缩短TR,也能得到T2对比度的图像,节省了扫描时间。但是采用平衡驱动强行恢复纵向磁化矢量,软组织对比度会下降,所以需要重点观察软组织结构的部位,不建议使用这个序列。
在我的序列与参数讲座中也提到了这个序列和技术,大概感兴趣的可以收听。
前文链接:
磁共振序列与参数(1)
磁共振序列与参数(2)
磁共振扫描选层及层厚
关注懋式百科全书,更多的精彩原创内容。
Welcome to subscribe my WeChat Official Account (personal blog).
Добро пожаловать в мой блог WeChat.

版权申明:
版权属于“懋式百科全书”所有。欢迎个人收藏、转发及分享。其它任何媒体、网站、公众号、平台、论坛如需转载或引用,须获得授权。没有授权,禁止盗用!获得授权后,需在醒目位置注明“转载自:懋式百科全书”,并且在阅读原文处设置我的原文链接,点击阅读原文能够回到我的原始文章。感谢大家的支持!作者敬上!
如果你觉得文章不错,对你有帮助,欢迎分享转发、点击在看或者打赏!感谢您的支持。
Viktor Lee
传播知识,交流学习,感谢支持。