本文3091个字,11幅图片,五篇相关文章,建议阅读时间20分钟。
本文主要介绍了双反转序列在临床中的应用,主要包括用于黑血序列及选择性的抑制某些组织,特别是在神经系统中的脑灰白质成像。
磁共振扫描参数决定不同的磁共振序列,而不同的磁共振序列体现不同的图像对比度。学好磁共振可以从各种眼花缭乱的序列里开始,其实序列千变万化,都是扫描参数的变化,而且大部分序列也可以相应的进行归类。
磁共振序列的故事相关文章:
磁共振序列的故事(一)
磁共振序列的故事(二)
磁共振序列的故事(三)
磁共振序列的故事(四)
磁共振序列的故事(五)
磁共振序列的故事(六)多回波序列的应用mFFE
磁共振序列的故事(七)——TE比TR还长的序列
磁共振序列的故事(八)——风车序列(2D抗运动伪影技术)
磁共振序列的故事(九)——单激发序列
磁共振序列的故事(十)——T2 FLAIR序列
磁共振序列的故事(十一)——SWI
磁共振序列的故事(十二)——GRASE序列
磁共振序列的故事(十三)——磁化准备超快速梯度回波序列
磁共振序列的故事(十四)——T2WI Drive
本期要讲解的是双反转序列,这一类序列临床使用频率不算高,但是却有非常重要的做。反转恢复序列是一类比较特殊的序列,它并不是按照信号产生的机制来分类,而是根据脉冲结构及作用命名的,该类序列名字为Inversion Recovery,简称IR序列,Inversion表示第一个射频脉冲的作用是将磁化矢量反向,反转到纵轴的反方向。要达到这种效果首先需要一个180°翻转角的射频脉冲,根据其效果我们把这个脉冲称为反转脉冲。广义的反转恢复序列是指在采集信号前首先施加一个反转脉冲作为磁化准备;狭义的反转恢复序列就是指一种特殊的反转脉冲作为磁化准备的自旋回波序列。
反转恢复序列通过施加一个反转脉冲进行磁化准备可以达到选择性抑制某种组织信号或者提高图像T1对比度的作用。所以该序列的T1对比优于常规的SE序列或TSE序列,这是因为所有组织从负方向开始恢复,拉大了组织之间纵向驰豫的尺度,类似于两个跑步者速度有差别,跑200米路程两人之间的差距要大于跑100米。
用上图来说明IR序列的两个主要作用:选择性的抑制某种组织及增加T1对比。
既然可以施加一次反转脉冲,那么也可以连续施加两个或者多个反转脉冲,然后根据各个反转脉冲之间的间隔时间形成双反转或者多反转序列。
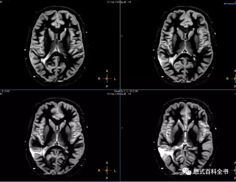
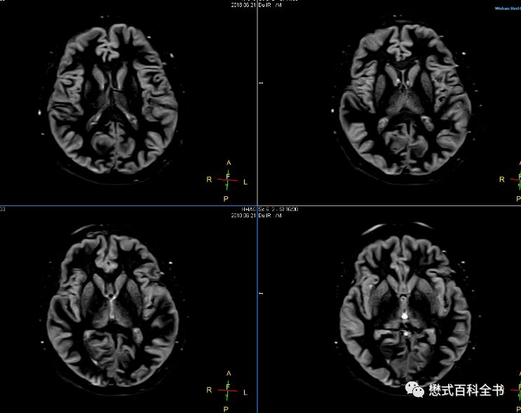
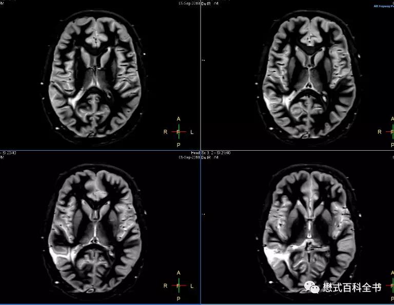
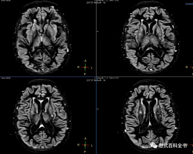
采用连续两个反转脉冲作为准备部分的反转恢复序列又叫做双反转序列(Dual IR)。在双反转序列中就存在两个反转时间(TI1和TI2),通过合理的设置这两个时间可以选择性的抑制两种组织,比如在头颅扫描中,可以通过抑制脑脊液和脑白质信号达到脑灰质成像(Grey Matter only image)的目的,或者抑制脑脊液和脑灰质信号来实现脑白质成像(White Matter only image)。
而双反转序列的两个主要临床应用就是进行选择性的组织成像,比如脑灰质成像,脑白质成像以及在心血管中进行黑血成像。
前面也介绍了脑灰白质成像的专用序列,其实就是采用双反转序列,通过两次反转选择性的抑制两种组织,从而达到只进行某一种组织的成像效果。
前文链接:MR脑灰白质成像
而关键的难点在于如何设置序列的扫描参数,也就是TR、TE以及两个反转时间TI。
在飞利浦中,原始序列里有专门的脑灰质成像(Grey Matter only)序列和脑白质成像(White Matter only)序列。理论上,1.5T和3.0T由于组织的T1值不同,这个参数有变化,但是我发现,1.5T和3.0T基本上参数设置是一致的。脑灰质成像(Grey Matter only)序列
TR=11000ms或者10500ms,大于10000ms,因为有两个反转;TE=25ms或者20ms;
最重要的两个参数来了。





个人感觉,1.5T效果比3.0T好,可能是1.5T脑组织对比度优于3.0T的原因。
脑白质成像(White Matter only)序列TR=14489ms或者15000ms,大于14000ms,因为脑白质成像的TI时间不同;TE=25ms或者20ms;可以看出,脑白质成像序列的参数中,两个反转时间TI1和TI2都比脑灰质的长,所以自然脑白质成像序列的TR很长。而且根据经验,脑白质成像的扫描时间比灰质成像长,而且效果没有脑灰质好,仔细看会发现有一点勾边。这是无论如何怎么调都调不下去的。这和要选择性进行脑白质成像,选择的两个TI有关。


大家记住了这些参数后,自己在自家医院的MR设备上,都可以调出来。细心的老师还发现,虽然这个序列叫双反转,其实无论是脑灰质成像,还是脑白质成像,脂肪信号都被抑制掉了,可以先采用SPIR进行脂肪抑制。这样算下来的话,这个序列其实是一个准三反转序列(虽然SPIR反转的不是180°)。在血管壁或者心脏扫描中,为了彻底的抑制血液信号,也会采用双反转序列来达到黑血成像的目的。如果在黑血成像的基础上再进行脂肪抑制,则还需要提前施加一个反转脉冲对脂肪组织进行抑制,这样就组成了三反转序列。
前文链接:磁共振黑血成像技术(Black Blood)
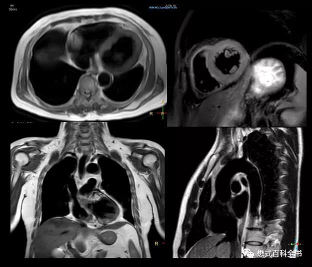
所谓的双反转黑血序列,就是在采集信号之前,首先施加了两个反转脉冲,将磁化矢量从纵向翻转到负方向。这个技术一般会和心电同步技术联用。当检测到QRS波时,首先施加第一个反转脉冲,这个反转脉冲是非层面选择的180°脉冲,将所有组织的磁化矢量都反转到-Z。接着一瞬间立马施加第二个反转脉冲,这个反转脉冲是层面选择的180°反转脉冲,只有被选择的层面反转180°,等于返回原来状态。也就是说,通过连续两个反转脉冲,成像层面的组织磁化矢量是在正方向,而成像层面以外的所有组织磁化矢量是在负方向。被反转到负方向的组织会进行纵向驰豫,逐渐向正方向恢复。当血液组织的磁化矢量刚好过零点时,这个时间施加90°射频脉冲,则血液组织信号被抑制,也就是层面外的所有血液组织信号被抑制掉。而层面内的血液由于信号流空也不会产生信号,并且层面外血液信号被抑制,即使流入采集层面也不产生信号,所以整个血液信号被抑制。

这种序列其实就是在快速自旋回波序列之前施加了连续两个反转脉冲,两个反转脉冲可以看作是为了形成黑血效果而做的准备脉冲阶段,而后面的快速自旋回波则是信号采集阶段。有了这个双反转脉冲,就可以保证无论是层面内,还是层面间的血液信号都被抑制。即使有血液在这个过程中,流出再流入采集层面,也不胡产生信号,保证了黑血效果的稳定性。
前文链接:心脏磁共振技术大全(二)
双反转BB序列一般都是2D成像序列,所以其实这个序列抑制血液的效率不高。因为每次抑制一层,都会进行双反转脉冲发射,如果扫描层数多了,扫描时间也会成倍的增加。
前文链接:磁共振2D和3D扫描序列的区别
双反转序列可以结合不同对比度的图像,比如T1WI、T2WI、PDW等。

本文主要介绍了双反转序列在临床中的应用,主要包括用于黑血序列及选择性的抑制某些组织,特别是在神经系统中的脑灰白质成像。
当然,除了双反转,还有三反转甚至四反转序列,其都有专门的作用。
干货讲完了,我又想起一个故事,大家看过《让子弹飞》,最后张牧之问黄四郎,你觉得是钱重要呢?还是你对我重要?黄四郎先回答他自己,得到否定答案后,又说难道是钱?
都不是,张牧之回答,没有你对我很重要!
有些工作,恰恰可能是这样,你在的时候可能体现不了价值value。比如,护林员,护林员防护得好,可能大家永远都不知道有森林大火这种事。一旦护林员走了,四处起火,可能人们才想起了护林员的重要。
有些时候,人在反而体现不了价值,只有人走了,才能体现他的value!!!
慢工不一定出细活,但是精品一定不能快。打过游戏的人都知道,要出极品装备,就得忍,就得慢慢花时间打。5分钟出不了辉耀,出的只是假腿。

关注懋式百科全书,更多的精彩原创内容。
Welcome to subscribe my WeChat Official Account (personal blog).
Добро пожаловать в мой блог WeChat.

版权申明:
版权属于“懋式百科全书”所有。欢迎个人收藏、转发及分享。其它任何媒体、网站、公众号、平台、论坛如需转载或引用,须获得授权。没有授权,禁止盗用!获得授权后,需在醒目位置注明“转载自:懋式百科全书”,并且在阅读原文处设置我的原文链接,点击阅读原文能够回到我的原始文章。感谢大家的支持!作者敬上!
如果你觉得文章不错,对你有帮助,欢迎分享转发、点击在看或者打赏!感谢您的支持。
Viktor Lee
传播知识,交流学习,感谢支持。